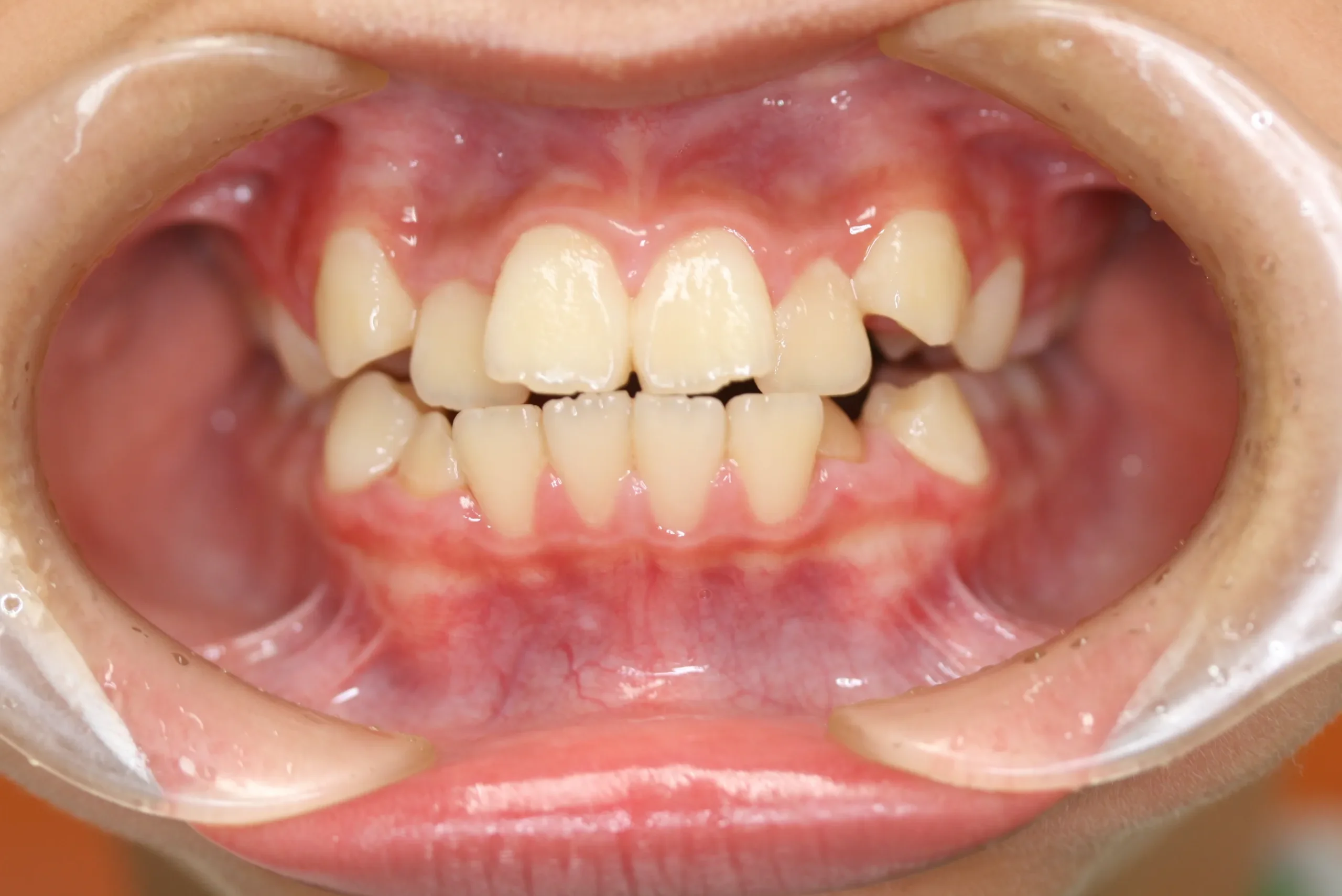
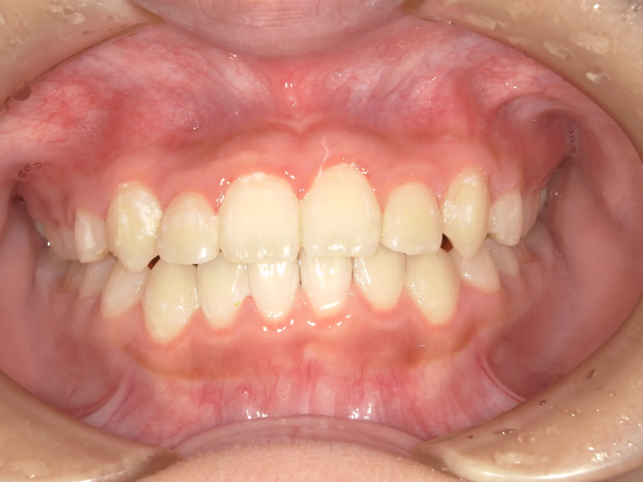
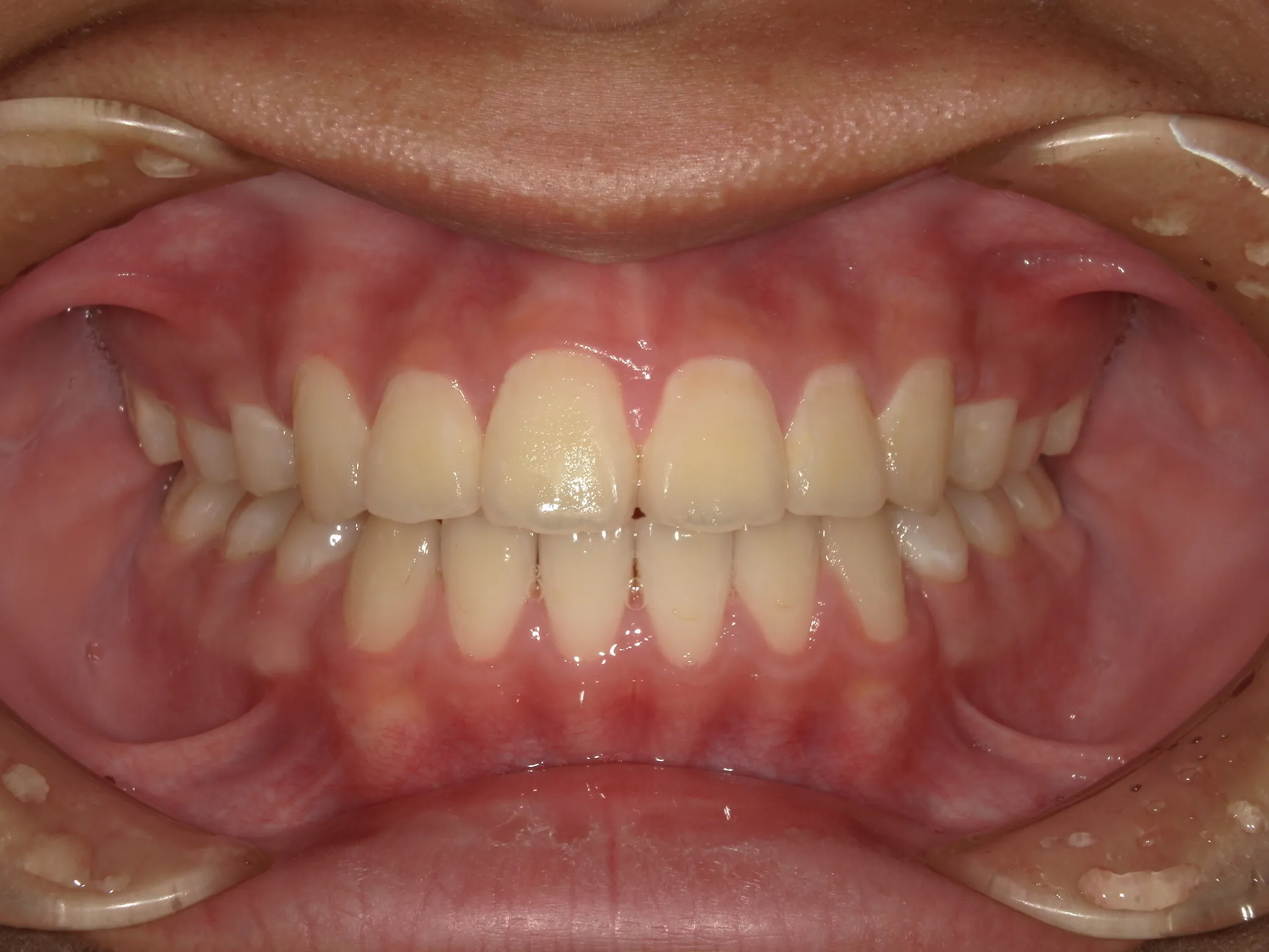
case1 ガタガタ
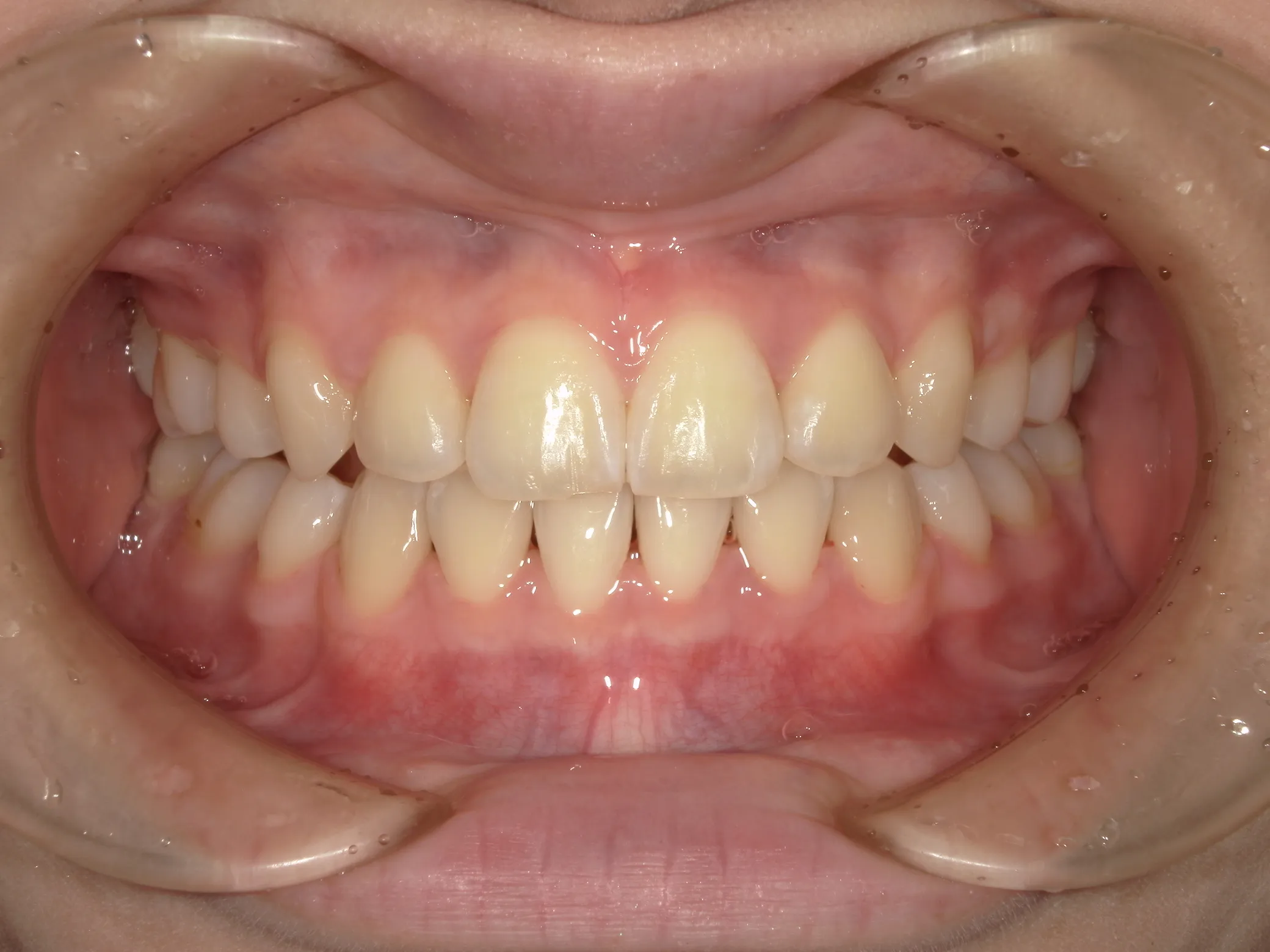
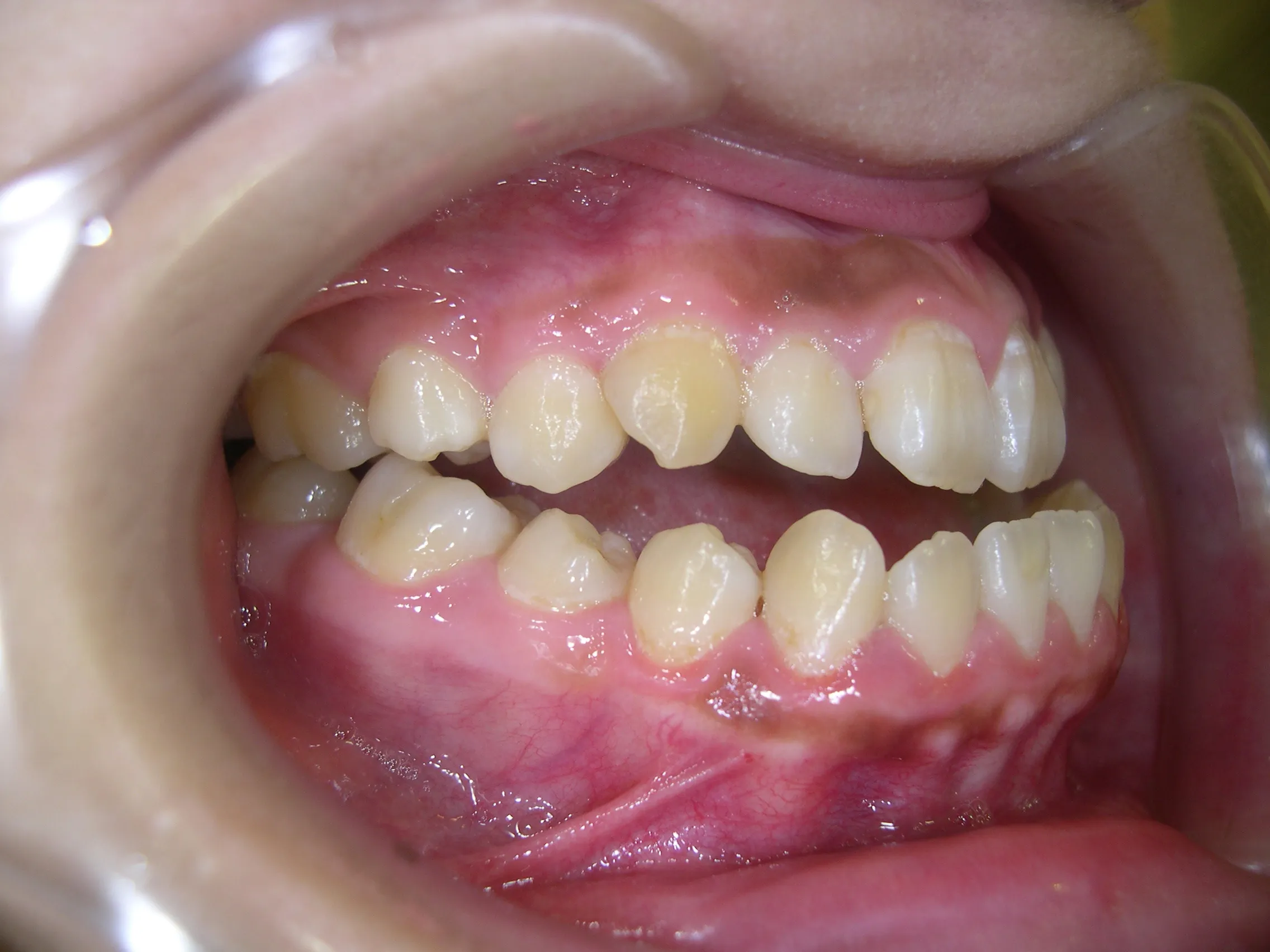
before
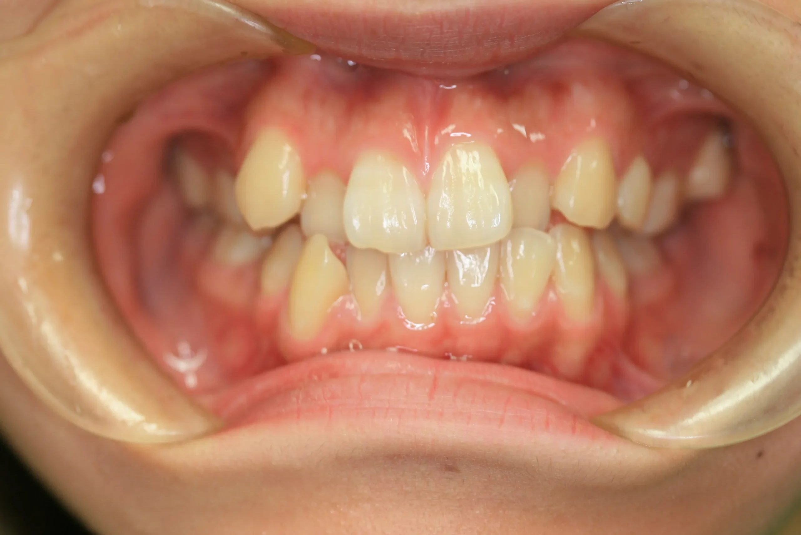
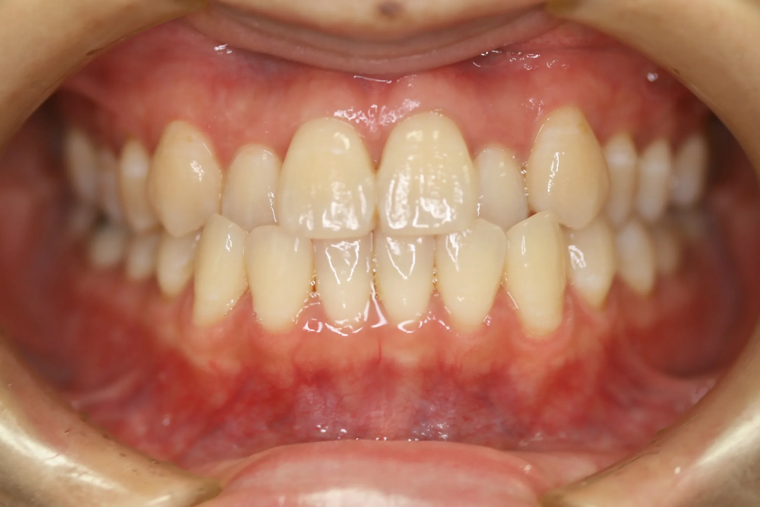
after
| 年齢 / 性別 | 10代 / 女性 |
|---|---|
| 抜歯部位 | 抜歯 |
| 治療装置 | 表側矯正装置 |
| 治療期間 | 2年8か月 |
| 費用(税込) | 935,000円 |
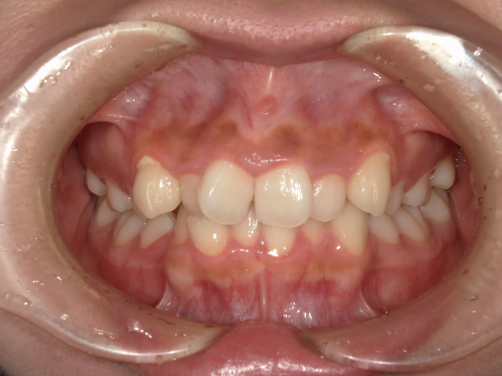
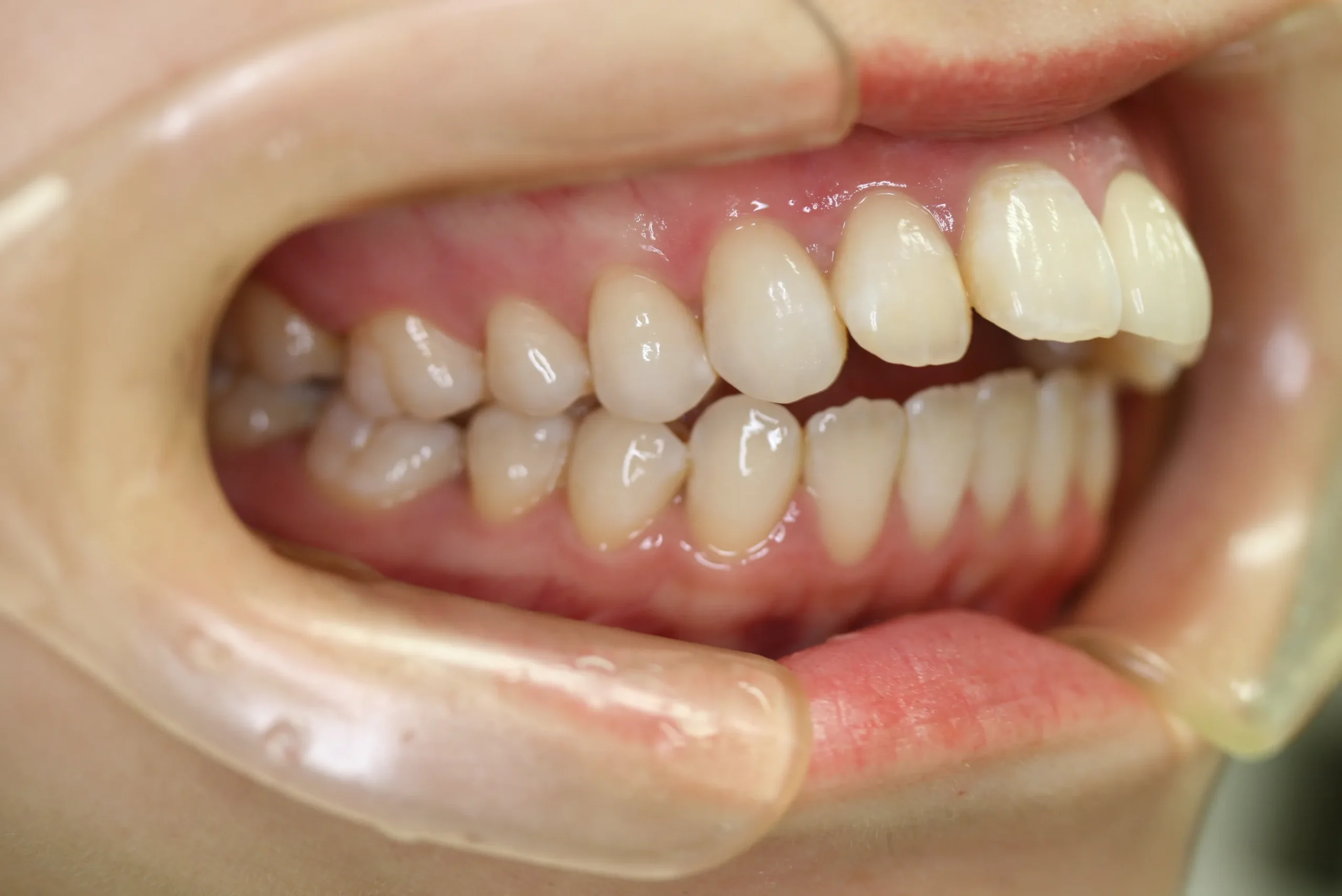
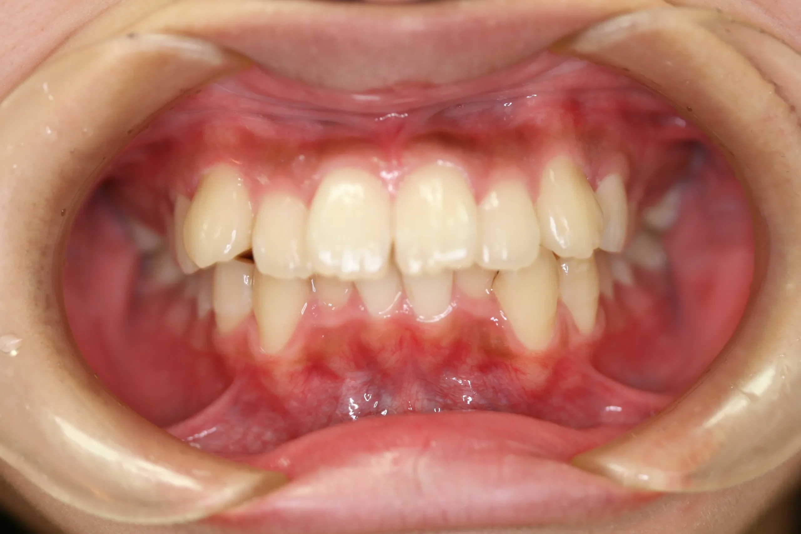
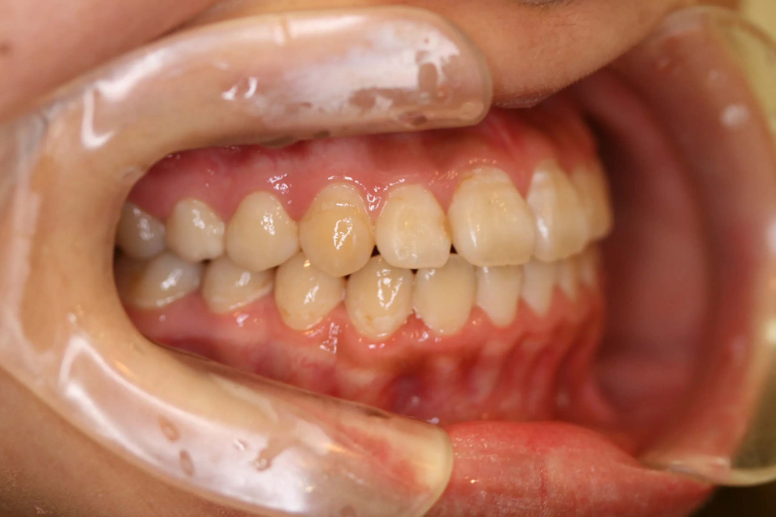
before
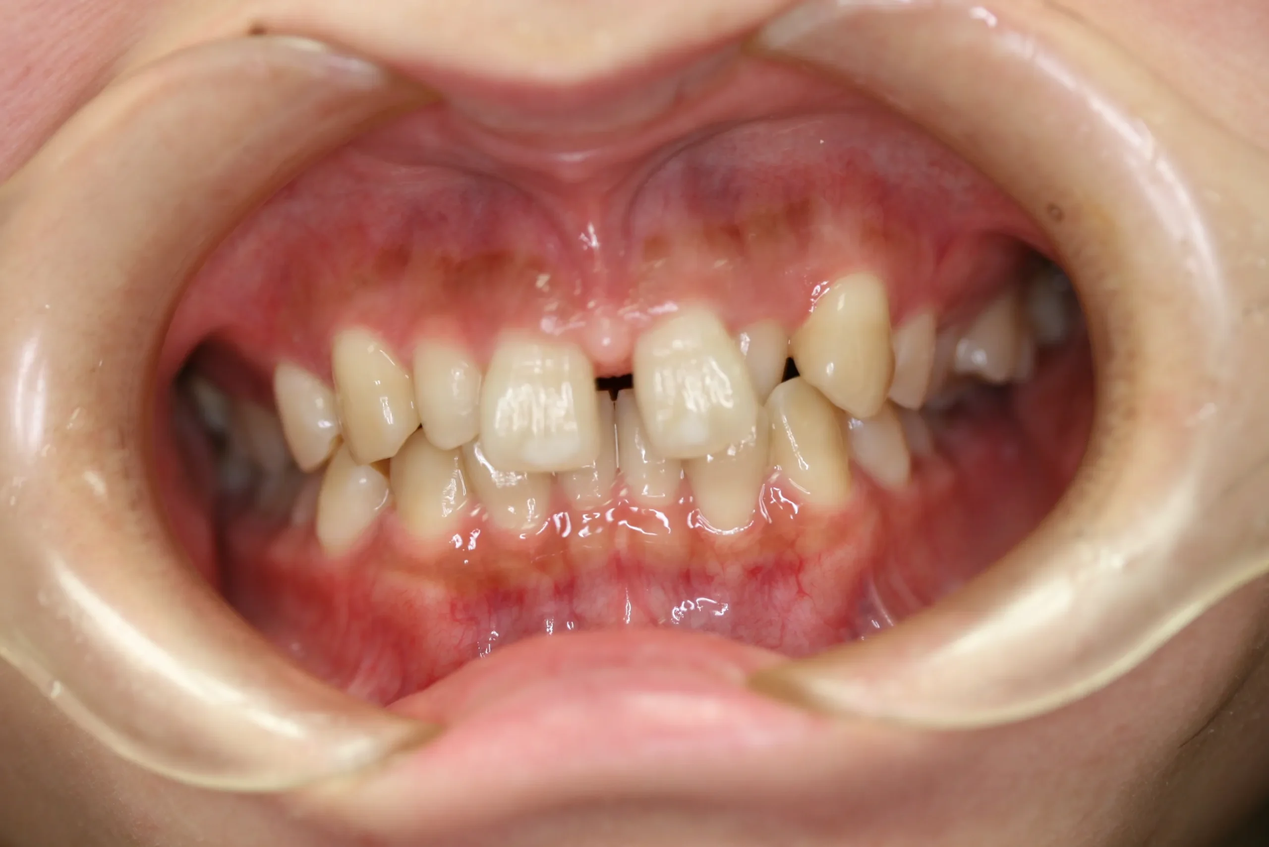
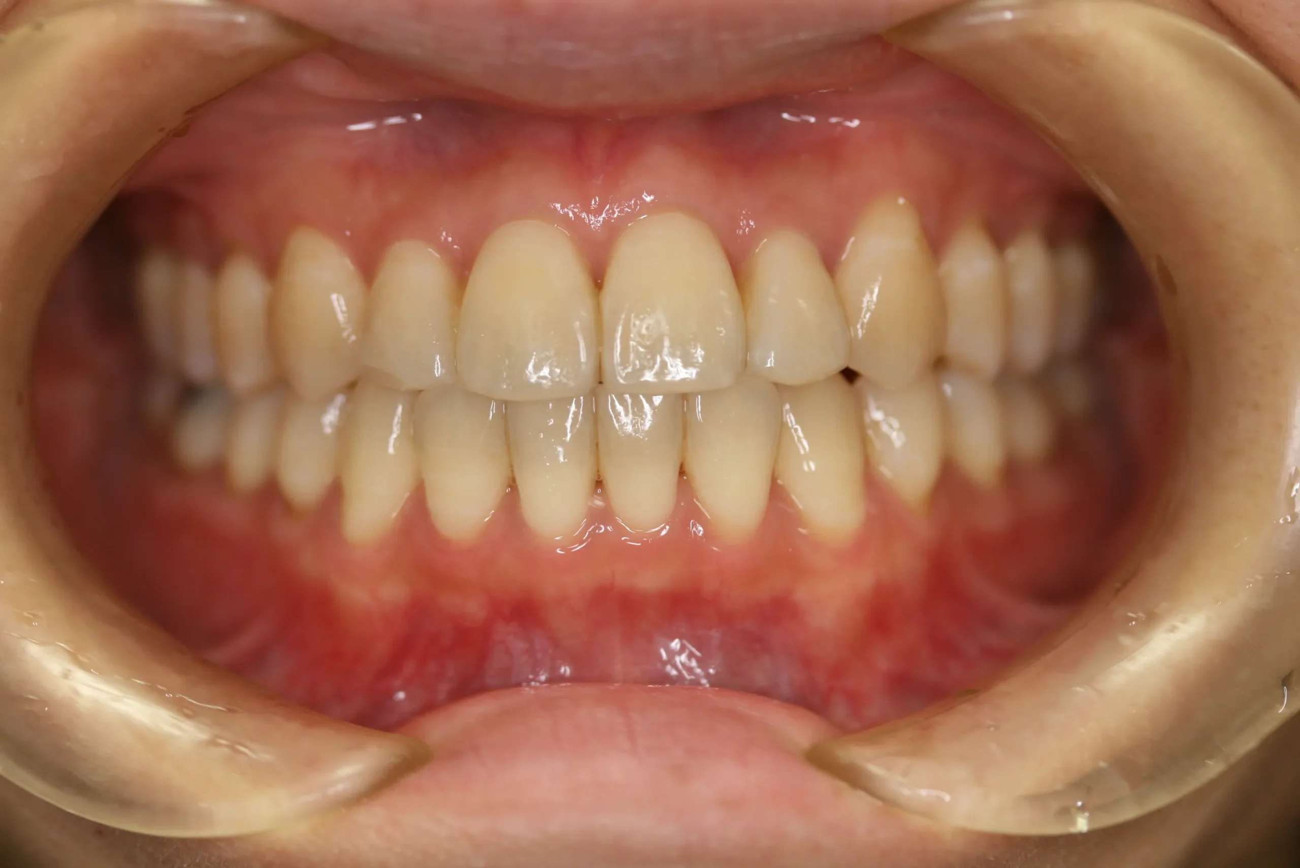
after
| 年齢 / 性別 | 10代 / 女性 |
|---|---|
| 抜歯部位 | 抜歯 |
| 治療装置 | 表側矯正装置 |
| 治療期間 | 2年8か月 |
| 費用(税込) | 935,000円 |
before
after
| 年齢 / 性別 | 30代 / 女性 |
|---|---|
| 抜歯部位 | 非抜歯 |
| 治療装置 | 表側矯正装置 |
| 治療期間 | 1年8か月 |
| 費用(税込) | 1,045,000円 |
before
after
| 年齢 / 性別 | 20代 / 女性 |
|---|---|
| 抜歯部位 | 非抜歯 |
| 治療装置 | 表側矯正装置 |
| 治療期間 | 1年9か月 |
| 費用(税込) | 1,034,000円 |
before
after
| 年齢 / 性別 | 10代 / 女性 |
|---|---|
| 抜歯部位 | 非抜歯 |
| 治療装置 | 表側矯正装置 |
| 治療期間 | 5年6か月 |
| 費用(税込) | 935,000円 |
before
after
| 年齢 / 性別 | 10代 / 女性 |
|---|---|
| 抜歯部位 | 抜歯 |
| 治療装置 | 表側矯正装置 |
| 治療期間 | 2年7か月 |
| 費用(税込) | 935,000円 |
before
after
| 年齢 / 性別 | 20代 / 女性 |
|---|---|
| 抜歯部位 | 非抜歯 |
| 治療装置 | インビザライン |
| 治療期間 | 3年0ヶ月 |
| 費用(税込) | 990,000円 |
before
after
| 年齢 / 性別 | 20代 / 女性 |
|---|---|
| 抜歯部位 | 抜歯 |
| 治療装置 | ハーフリンガル |
| 治療期間 | 2年6か月 |
| 費用(税込) | 1,199,000円 |
before
after
| 年齢 / 性別 | 10代 / 女性 |
|---|---|
| 抜歯部位 | 抜歯 |
| 治療装置 | ハーフリンガル |
| 治療期間 | 2年7か月 |
| 費用(税込) | 1,199,000円 |
before
after
| 年齢 / 性別 | 20代 / 女性 |
|---|---|
| 抜歯部位 | 抜歯 |
| 治療装置 | ハーフリンガル |
| 治療期間 | 3年3か月 |
| 費用(税込) | 1,254,000円 |
before
after
| 年齢 / 性別 | 20代 / 女性 |
|---|---|
| 抜歯部位 | 抜歯 |
| 治療装置 | 表側矯正装置 |
| 治療期間 | 3年5か月 |
| 費用(税込) | 健康保険 |
before
after
| 年齢 / 性別 | 10代 / 男性 |
|---|---|
| 抜歯部位 | 抜歯 |
| 治療装置 | 表側矯正装置 |
| 治療期間 | 2年7か月 |
| 費用(税込) | 935,000円 |
矯正治療は、より良い噛み合わせと歯並びを目指す医療行為であり、
多くのメリットがありますが、以下のような注意点やリスクも伴います。
※すべてのリスクや注意点については、治療前に文書で丁寧にご説明いたします。
ご不安な点がありましたら、いつでもご相談ください。
あなたの気持ちに寄り添いながら、理想の歯並びや笑顔に近づく
お手伝いをさせていただきます。
安心してご相談ください。